目前,我们对人体免疫系统的认识仍然存在片面性,比如许多具有临床重要性的免疫受体已被视为“孤儿”,它们的配体仍未被发现;又比如我们的研究方法仍局限于单个受体,缺乏系统地表征整个细胞表面蛋白质组的吞吐量,诸如此类的问题。我们都知道,人体免疫系统由分布在全身循环的细胞网络组成,这就迫切地需要产生真正系统级的免疫细胞功能全方位互作视图。
2022年8月3日,Nature发布了一项最新研究,剑桥大学、约克大学等多个名校联合,首次为人类免疫系统的细胞间布局提供了一个系统的视角,从免疫细胞连接的系统级延伸到单个受体表征,为未来详细研究免疫系统网络提供了一个模板。 研究的第一步就是要让蛋白受体们相互接触,研究者首先开发了一种“可扩展的阵列多价细胞外相互作用筛选 (SAVEXIS)”方法,该方法可以在消耗微量蛋白质的同时筛选数十万种相互作用。通过利用链霉亲和素的多聚化,构建了筛选的固定“诱饵”和报告基因连接的“猎物”,这保证了放大信号从一个构建体而不是两个构建体中产生,并且该设计适用于检测跨结构类别范围内的低亲和力蛋白相互作用。
Figure 1图解:
a, SAVEXIS 能够高效和高通量筛选重组细胞外结构域之间的蛋白质结合相互作用;b,有六种不同的定制设计用于功能表达不同的受体拓扑结构和多组分复合物;c,总结了免疫受体的蛋白质-蛋白质对矩阵,它们具有通过筛选鉴定或先前在文献中报道的相互作用;d, 筛选成功地发现了大多数先前报告的交互作用,且误报最少;e,免疫受体相互作用的有组织的相互作用网络。紫色表示哪些相互作用是新颖的,线条粗细与筛选测量的证据量成正比。为了验证Figure1的发现,每个交互都需要通过正交方法进行评估,具体实验过程见以下Figure 2详解。但该部分实验中,作者有一些发现:1.在与抗原呈递细胞的接触中,与树突状细胞相比,循环 T 淋巴细胞在与 B 细胞配对时表现出对更高亲和力受体的微妙偏好。2.表面相互作用的总体分布具有以低微摩尔范围为中心的亲和力。4.免疫激活伴随着细胞相互作用强度的广泛转变。高亲和力的相互作用在发炎状态下占主导地位,而这些在静止状态下被更短暂的相互作用所取代,Figure 2详解:
a, 首先,作者测试了用编码受体的 cDNA 转染后展示在人类细胞表面上的蛋白质与互补受体的结合情况。随后,又用两轮表面等离子体共振(SPR)来表征直接结合强度。c,根据a与b的实验结果,研究者意识到,可以将 SPR 数据中测量的结合亲和力与从文献中提取的测量值结合起来,不仅可以组装一个系统的物理相互作用网络,还可以组装一个独特的定量网络。d,研究者将这种定量受体相互作用网络与白细胞中的蛋白质组学表达相结合,以深入了解整个免疫系统的结合动力学模式f,建立了一个粗略但有规则的数学模型,该模型整合了定量蛋白质组学表达、结合动力学和公布的细胞参数,以总结单个蛋白质相互作用对给定细胞相互作用的贡献。在图g中得到了验证,数据与已发布的数据一致。尽管作者建立的的数据集使用循环免疫细胞作为来源,但免疫系统跨越了广泛的器官,每个器官都可能是理解相互作用的生物学作用的关键。因此,研究者试图通过创建一个交互式地图集来将网络的相互作用背景化,该地图集绘制了在人类组织的单细胞表达数据集中检测到这些受体和配体对的位置。具体过程仍见Figure 3详解。
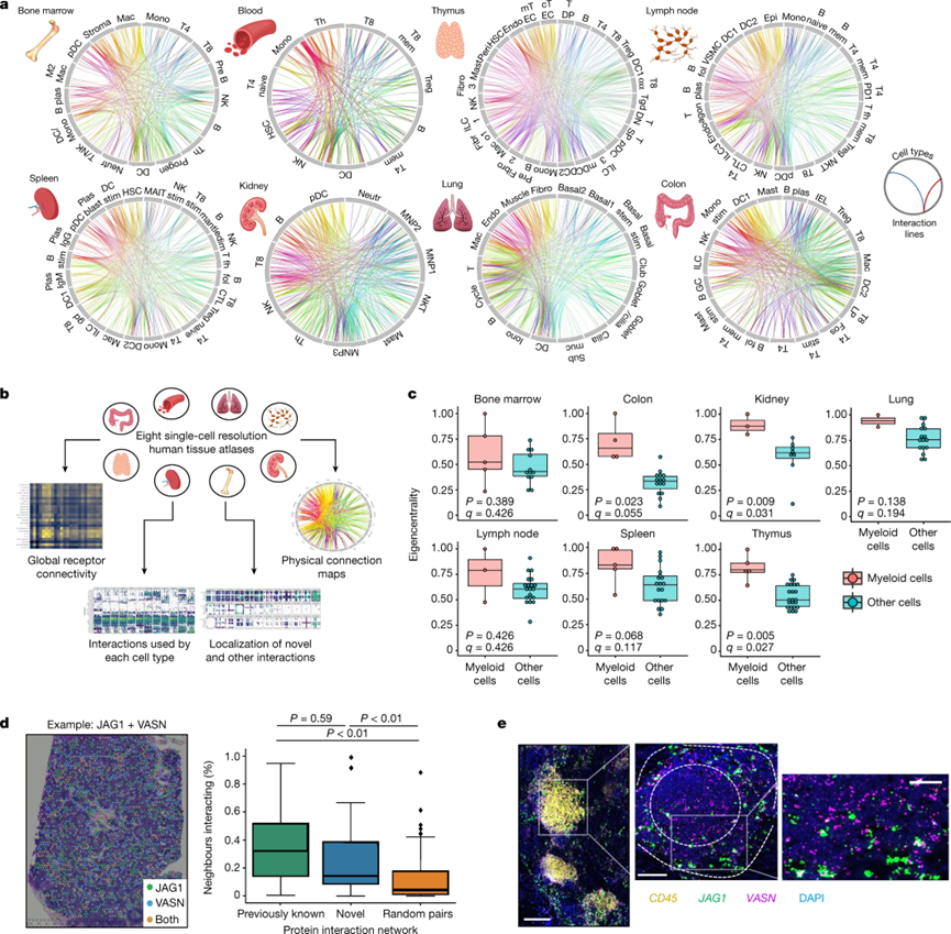
Figure 3详解:
a,单细胞数据集的系统整合,地图集绘制了在人类组织的单细胞表达数据集中检测到这些受体和配体对的位置。c,发现了一个反复出现的基序,其中髓系细胞在多个细胞相互作用网络中充当枢纽。在多个初级和次级淋巴组织中量化,骨髓细胞具有始终较高的网络中心性评分d,为了研究这些相互作用是否在人体生理环境下表现出来,研究者检查了淋巴结空间转录组学数据集中受体和配体的空间共定位,不过这只是一个时间点的情况。e,在Figure1中,研究者发现的新型相互作用对,例如 JAG1-VASN(分布在人类淋巴结富含免疫细胞的隔室的边界区域),可以在后续实验中详细验证。研究者为了评估所表征的蛋白-受体相互作用是否可以在调节免疫系统方面具有潜在的临床用途,他们对分离的人类免疫细胞进行了高通量细胞表型分析。具体过程见以下Figure 4详解。
Figure 4详解:
a,用重组蛋白干扰人外周血单核细胞 (PBMC) 并在 4 小时和 24 小时成像,测量细胞活化和连接的变化b,研究者使用具有确定受体相互作用的蛋白质引发对淋巴细胞作用的反应。发现一组新型相互作用因子中的蛋白质(TNFRSF21 以及粘附蛋白 CHL1 和 CD320)引发了多种反应,促进了自然杀伤 (NK) 细胞激活。c,从高内涵成像数据中提取相互作用的细胞群落。以重组 SEMA4D 和 SIRPA 为例,描绘了受重组 SEMA4D 和 SIRPA 干扰的白细胞的代表性显微镜视野(左)和计算的物理细胞接触(右,白线)。e,观察到的相互作用变化符合数学模型的预测。
免疫系统是一个分布式系统,它不是固定在体内的局部器官上,而是由许多特殊的细胞类型组成,这些细胞类型必须适应性地协调细胞间信号传递,以应对病原体和其他可能出现的威胁。
该文提供了细胞表面蛋白的系统和定量全局视图,这些蛋白使免疫细胞能够动态运行它们的相互作用。研究者在该系统中提到的每一个蛋白-受体相互作用都值得进一步的个性化研究,并进一步阐明它们在健康和疾病中的全部作用,这需要科学家们的进一步探索。参考资料:Shilts, J., Severin, Y., Galaway, F. et al. A physical wiring diagram for the human immune system. Nature 608, 397–404 (2022). https://doi.org/10.1038/s41586-022-05028-x